大和市中央林間の動物病院、アイビーペットクリニックです。
当院は腫瘍・がん・皮膚科・眼科に力を入れています。

受付時間 /午前8:30~11:30 午後15:30~18:30
休診日 /火曜日午後・木曜日

HOME > 予防できる病気 > 猫フィラリア

猫フィラリア

予防医学

ネコちゃんもフィラリア予防をしていますか?
『ネコちゃんも蚊に刺されるけどフィラリアは予防しなくていいの?』
と疑問をお持ちの方もいらっしゃるのではないでしょうか。
猫ちゃんのフィラリア症は、かなり研究が進んできました。
フィラリア症の予防についてよくあるご質問を挙げてみました。
一緒に勉強してみましょう!

 
Q1:フィラリアってなに?
Q2:どんな症状が出るの?
Q3:珍しい病気なんでしょ?
Q4:うちの子も感染してる?
Q5:室内飼育なら予防なしで安全?
Q6:予防なんてできるの?
Q7:夏だけ予防すれば大丈夫?
 
これらの他にも、ご不明な点は遠慮なくお問い合わせください!

Q1:フィラリアってなに?

A.『フィラリア』とは、蚊に刺されて感染する寄生虫です。

 
  1. フィラリアに感染している猫から蚊が吸血
  2. 蚊の体内にフィラリアの幼虫が入り込む
  3. その蚊が、他の猫を吸血
  4. 蚊の体内にいたフィラリア幼虫が猫に感染
  5. フィラリア幼虫が数ヵ月かけて移動し心臓へ
  6. 心臓内で成虫となり、多数の幼虫を産む


※ネコちゃんの場合、フィラリア幼虫の多くは心臓にたどり着けません。
肺などの臓器内を移動中に強い炎症を起こして咳などの症状を起こすことが一般的です。
ネコちゃんが咳をしていたら要注意です!

Q2:どんな症状が出るの?

A.危険な症状も含め、さまざまな症状が現れますが…

 
ネコちゃんのフィラリア症で見られる症状は以下のようなものです。
咳、嘔吐、呼吸困難、失明、食欲不振、痙攣、体重減少、突然死、疲れやすい
 
・・・何でもあり?
 
そうなんです。
ネコちゃんのフィラリア症は、他の病気と区別しにくいのが特徴です。
 
ワンちゃんと異なり、フィラリアによって肺や気管支が障害され、『2週間くらい続く軽い咳』のような症状が多くみられます。
そのため、犬糸状虫随伴呼吸器疾患(HARD:heartworm-associated respiratory disease)とも呼ばれます。
そしてこれらは、『猫喘息』と誤解されることも多いのです。
 
わずかフィラリア2匹の寄生によって突然死を起こした報告もあります。

Q3:珍しい病気なんでしょ?

A.ネコちゃんの10頭に1頭が感染しています

 
ネコちゃんのフィラリア感染率が年々増加しているといわれています。
2010年の研究報告では、ネコちゃんの  10頭に1頭が感染しているという全国的なデータも発表されています。
 

 
『感染の証明が非常に困難』なネコフィラリア症の報告例が これほど多いことに驚かされた報告でした。
出入り自由の子もいますが、ほとんどは室内飼育のネコちゃんです。
しかも、  地方よりも首都圏の方が感染率がわずかに高い んです。

『室内飼育』で『軽い咳が続く』ようであれば要注意かもしれません!

Q4:うちの子も感染してる?

A.検査方法はありますが…

 
基本的にはワンちゃんと同じ方法で検査します。
フィラリアはネコちゃんの体内では生存しにくいということもあり、少数のみの寄生がほとんどです。
したがって、どの検査法でも検出しにくいという問題があります。
 

検査法① フィラリア抗原検査

免疫反応を利用して検査するので、数滴の血液で検査できます。
メスのフィラリア成虫に反応するため、『オスのみの寄生』や『幼虫のみの寄生』だった場合は陰性(感染なし)という間違った検査結果となってしまいます。
ネコちゃんはフィラリア検査で見つけにくいといわれる理由です。
 

検査法② ミクロフィラリア検査

血液中のフィラリア幼虫(ミクロフィラリア)を顕微鏡で探します。
感染していても、血液中にミクロフィラリアが出てくることがまれなため、検出率はとても低い検査です。もちろん、血液中にいないミクロフィラリアは発見できません。

 

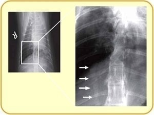
検査法③ レントゲン検査

レントゲンでフィラリアそのものは見えません。
肺や気管支の見え方、特に肺動脈の太さがヒントになります。
咳をしているネコちゃんは、レントゲンを撮ってみるといろいろ見えてくるかもしれませんね。

 

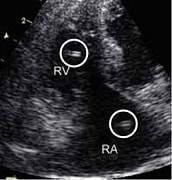
検査法④ エコー検査

エコーで心臓内を直接みることで、心臓内のフィラリアを確認します。
フィラリアがいるとエコーで『=』のように見え、検出率の高い検査です。

※心臓内のフィラリアしか発見できません。ネコちゃんでは、心臓以外(肺など)にいるフィラリアが症状を起こして問題となることが一般的です。

Q5:室内飼育なら予防なしで安全?

A.室内飼育でも予防が必要です!

 
フィラリアは蚊に刺されることで感染します。
蚊に刺されないように『蚊取り線香』などの工夫をされていると思います。

室内猫の10頭に1頭が感染しているという報告があります。

100%蚊に刺されないのであれば良いのですが、私たちも室内で蚊に刺されることがあります。
フィラリア症は命に関わる疾患です。
確実な方法でしっかり予防してあげましょう!

Q6:予防なんてできるの?

A.フィラリア症の予防は簡単です!


室内飼育でも蚊に刺されないのは不可能です。
蚊に注入されたフィラリア幼虫を確実に殺してフィラリア症を起こさないように予防します。
実際には、月1回のペースで滴下剤を付けるだけです。
生活環境に応じてお薬を選びましょう!

Q7:夏だけ飲めば大丈夫?

A.少なくとも12月まで飲みましょう!

 
フィラリア症の予防は『体内に入ったフィラリア幼虫の駆除』です。
つまり、蚊がいなくなってから最後のダメ押しが非常に重要です。
蚊の体内でフィラリア幼虫が感染力を持つ期間は、気温で推測します。
気温からHDU(Heartworm Development heat Unit)を計算します。
 

 
『体内に入って1ヵ月後の幼虫を駆除』するお薬ですから、感染可能期間より1ヵ月遅れてお薬を飲む必要があります。
HDUを参考にすると神奈川県では最低でも5月末~12月中旬の予防が必要です。
近年の温暖化の影響、断熱効果の高い住宅などの影響で、冬でも蚊が見られることがあり、通年予防が理想ではあります。
 
当院では以下の理由から  5~12月の予防薬投与をオススメしています。
  1. HDUの概念からいくと遅くても5月末からの投与が必要です
  2. HDUによる感染可能期間が年々延長しています
  3. フィラリア症の専門学会*では、通年投与を推奨しています

 
フィラリア症の予防薬は、安全のために5~12月の投与を徹底しましょう。
もちろん、専門学会の推奨どおり通年投与が理想です!
 

*American Heartworm Society:AHS
各国の専門家によるフィラリア症の国際的な専門学会です。
英語ですが、フィラリア症のガイドラインをご覧になれます。
日本犬糸状虫症研究会もこの学会のガイドラインがベースです。
AHSのホームページはこちら

ネコちゃんの『フィラリア症』に関する疑問は解決しましたか?
検査で検出しにくく、他の病気との区別も難しい病気です。
しかし、少数のフィラリア寄生で命を落とすこともあります。 
 
『長生きして病気になった』のであれば、仕方のないことですが、
予防できるはずの病気にかかってしまっては可哀相です。
簡単に予防できる病気です、簡単に予防しましょう! 
 
ご不明な点などございましたら、お気軽にお問い合わせください!
1
2
3
4
5
6
7