皮膚科疾患の診断・検査
痒みや脱毛を起こす皮膚科疾患は数限りなくあります。
皮膚科の診断は、一般的な原因から順に『除外』するという特徴があります。
つまり、動物に負担のかからない簡単な検査から始め、少しずつ根本の原因を突き止めるのです。
したがって初めの1~2ヵ月はもどかしく感じるかもしれません。
逆に、初めに「この子はアレルギーですね」と言えることはありません。
01
Step 01. テープストリップ
皮膚表面にいる病原体を顕微鏡で確認します。
この検査結果でシャンプーや内服薬を検討していくのが最初のアプローチとなります。治療効果の判定のために、経過をみつつ数回繰り返していきます。

皮膚表面で増殖したマラセチア
大きく薄いものは皮膚の角質です。
小さなだるま型の粒がマラセチアです。
02
Step 02. スクレーピング
皮膚検査専用の器具で、皮膚を軽く削ります。これにより、毛穴に寄生するダニなどを検出します。毛穴の奥のダニは1回の検査で見つからないこともあるため、数回繰り返すことがあります。


毛包虫と疥癬
いずれも皮膚に寄生する小さなダニです。
顕微鏡で探し出します。普段使っている「ノミ・ダニ予防」のお薬では予防できません。
03
Step 03. 抜毛検査
被毛を数本抜いて顕微鏡で検査します。
被毛そのものや、毛根の状態を確認します。この検査でわかる情報は意外と多く、重要な検査の1つです。
04
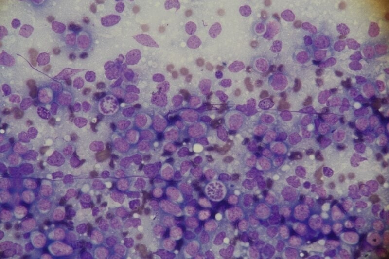
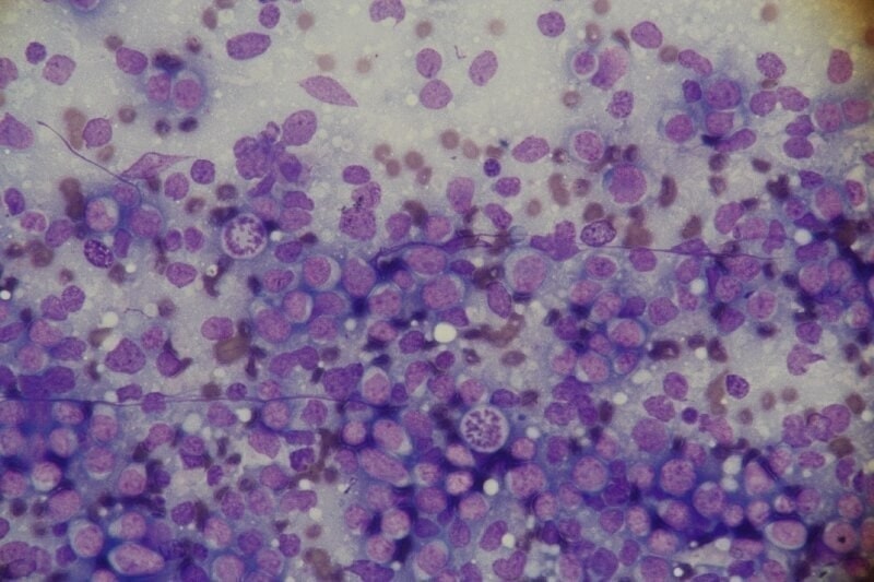
Step 04. 細胞診
細い針を刺して少量の細胞を採取し、顕微鏡で検査します。
皮膚の深いところの感染や、皮膚の腫瘍が見つかることがあります。

リンパ腫
免疫細胞の一種であるリンパ球が腫瘍となったものです。皮膚にできる腫瘍の1つでもあります。腫瘍は早期発見、早期治療が重要です。
05
Step 05. 真菌培養
皮膚に寄生する真菌(カビ)の一種が原因となっていることがあります。真菌が疑わしい場合、真菌培養をして答え合わせをします。真菌は環境に残りやすいため、治療の際にはいろいろ工夫が必要となります。また、真菌が原因の場合、ご家族に感染することもあります。

皮膚糸状菌
皮膚に感染する真菌です。胞子と菌糸が見えています。
06
Step 06. アレルギー検査
アトピー・アレルギーが疑われる場合に行う検査です。
少量の血液で、さまざまな情報が得られます。万能な検査ではないので、「必要な子だけ」受けていただくことになります。
07
Step 07. スキンパンチ
皮膚の一部を切り取り、顕微鏡で皮膚構造そのものを評価します。
この検査が必要になる疾患はごくわずかです。
皮膚科疾患の治療
皮膚科の治療でメインとなるのは、『お食事』と『シャンプー』です。
これらで抑えきれないものを『お薬』で押さえ込みます。
多くの皮膚科疾患は、症状の強く出ている時だけお薬に頼ることになります。
01
Case 01. シャンプー
皮膚表面のバリア機能を保つために非常に重要な治療法です。
皮膚の状態や、疾患に合わせて薬用シャンプーを選びます。もちろん、状況に合わせて随時変更しながら皮膚のコンディションを保ちます。
シャンプーの種類だけでなく、シャンプーの仕方、乾かし方も重要ですので、少しずつ慣れていきましょう。
02
Case 02. フード
健康な皮膚を維持するために、良質なお食事も重要です。
処方食でも病気に合わせたものを選ぶ必要があります。一緒に病気と体質に合ったお食事探しをしていきましょう。
03
Case 03. 内服薬
ステロイドが必要になることもありますが、決して万能薬ではありません。
漫然とステロイドを続けるのではなく、病気のタイプに合わせて、お薬を選びます。
病気のタイプにもよりますが、多くの場合は症状が落ち着くと共にお薬が減ります。もちろん、お薬をお休みできることも多いです。その場合は、やはり『シャンプー』と『お食事』によるサポートが重要です。
04
Case 04. ノミ・ダニ予防
皮膚の健康維持において、ノミ・ダニ予防も大切です。
アトピー・アレルギーの子の治療においては特に重要です。毎月のノミ・ダニ駆除も継続していきましょう!


ノミ(約3mm)とマダニ(5~10mm)
これらは肉眼で見える大きさです。毎月の予防が重要ですが、市販の滴下剤の場合、ペットが「吸血」されたときにノミ・ダニを駆除するため、効果が不十分です。

市販の製品は医薬部外品なので効果が期待できません。
また、ノミ・ダニに刺された時に効果が出ます。刺される前に駆除できる病院専用の医薬品を使いましょう。
05
Case 05. スキンケア
皮膚病治療に欠かせない要素の一つに「スキンケア」があります。
スプレー剤、サプリ、食事の変更、シャンプーなどをその子の体質に合わせて組み合わせます。
皮膚病の予防や再発防止のためにも重要です。
皮膚診療の真骨頂ともいえるかもしれません。