腫瘍の診断・検査
腫瘍にはたくさんの種類があります。
放置しても良いものから、急いで治療に入るべき危険なもの、発見した時点で余命の短いものまでさまざまです。
『しこり』の見た目で、どの腫瘍か決め付けることは危険です。
ワンちゃん、ネコちゃんに負担のかからない検査から始め、『腫瘍の正体』を突き止めること、『全身のどこまで』腫瘍の影響を受けているのか把握すること、この2点が腫瘍との闘いの始まりです。
見た目で『良性ですね、放置しましょう』と言えることはありません。
01
Step 01. FNA(細胞診)
ワクチンで使う細い針で、しこり内の細胞を少し採取します。
その細胞を顕微鏡で確認し、どの腫瘍か評価します。
特徴的な細胞であれば診断に至りますが、ごく少量の細胞なので、『おそらく良性』や『たぶん悪性』としかわからない場合もあります。

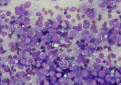
肥満細胞腫
悪性腫瘍の1種です。細胞内に独特な紫色の顆粒を持つため細胞診でも診断がつきやすいものです。半端な手術は悲惨な結果となります。

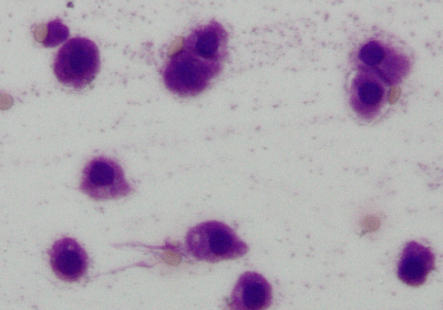
リンパ腫
免疫を担当するリンパ球が悪性腫瘍となったものです。血液の腫瘍ですから手術ではなく、抗がん剤を中心とした治療が基本です。
02
Step 02. Tru-Cut

採取される細胞の量が増えるため、診断精度が高まります。
しこりの内部には神経がないため、痛みはありません。
03
Step 03. 切除生検

半端にメスを入れると悪化する腫瘍もあること、麻酔をかける必要があることから、頻繁に行う検査方法ではありません。
04
Step 04. 病理検査

摘出した組織の病理検査をしないのは危険です。
05
Step 05. レントゲン
上記の検査は、『腫瘍の正体を知るための検査』でした。レントゲンやエコーは、『腫瘍があるかどうか』の検査です。体内の腫瘍を探したり、他の臓器にできた腫瘍が肺転移していないか探したりが目的となります。
手術後の経過チェックとして胸部の撮影をすることもあります。

乳腺腫瘍
悪性の乳腺腫瘍の肺転移です。ワンちゃんを横から撮影した画像です。大小さまざまな白い丸が転移巣です。こうなると残された人生を少しでも快適にするための『緩和治療』が重要となります。

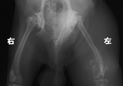
組織球肉腫
非常に悪性度の高い腫瘍の1つです。腫瘍によって左脚の骨が破壊され骨折しています。
周りの組織も右脚の倍くらいに腫れ上がっています。
06
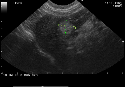
Step 06. エコー(超音波検査)
レントゲンと同様に、『腫瘍を探す』ための検査ですが、エコーは内臓の内部の腫瘍を探します。

肝細胞癌
肝臓内にわずか1cm弱のしこりがみつかりました。細い針で細胞を採取し細胞診でしこりの正体を突き止めます。

腎臓型リンパ腫
左右の腎臓がかなり巨大になっています。細胞診でリンパ腫と確定しました。抗がん治療により腎臓は通常サイズまで縮小しました。
腫瘍の治療
外科手術、化学療法、放射線治療が『がん治療の3本柱』です。
腫瘍の種類によって、効果のある治療法が異なります。
腫瘍の種類を正確に診断してから、最も効果的な治療法を選ぶことが重要です。
また、治療法によってその副作用も異なります。
『腫瘍』≒『副作用との闘い』というイメージの方も少なくないと思います。
しかし、それぞれの治療法に特有の副作用を把握し、その対策をしていれば、それほど怖い思いをせずに拍子抜けされることも多く経験します。
01
Case 01. 外科手術

しかし、他の内臓に転移している場合や、血液の腫瘍など手術では取りきれないものも多くあります。また、悪性の腫瘍ほど、しこりそのものよりも大きく切除する必要があります。
黒色腫
まぶたのフチにできた黒いしこりです。
まぶたごとの摘出ですが、術後も綺麗に治っています。

手術前

手術後
02
Case 02. 化学療法(抗がん剤治療)

効果を高め、副作用を抑えるために、腫瘍の種類、健康状態などに合わせて選択・調節します。
03
Case 03. 放射線治療

放射線治療を行う場合は、大学病院で 放射線治療専門医が治療を担当いたします。
04
Case 04. 免疫療法

腫瘍治療の3本柱でもダメな場合の選択肢として今後に期待される分野です。
05
Case 05. レーザーサーミア

アイビーでは最高強度のクラス4半導体レーザーを使用しています。
メインの治療法として活躍するものではありませんが、腫瘍治療の補助としての有効性が報告されています。
腫瘍の診断・治療に関しての大まかなご説明でした。
繰り返しになりますが、『早期発見・早期治療』が非常に重要です。
特に『正確な診断』をすること、
種類に合った『適切な治療の選択肢』を選ぶことが重要です。
長生きさんが増えるにつれ、腫瘍になる子が増えています。
しかし、腫瘍を克服できた子も増えてきています。気になることは先延ばしにせず、お気軽にご相談ください。